VIÊM KHỚP CỔ TAY
Viêm khớp liên quan đến tình trạng viêm một hoặc nhiều khớp của bạn. Đau và cứng là các triệu chứng phổ biến của bệnh viêm khớp và khi những triệu chứng này xảy ra ở cổ tay của bạn, các hoạt động đơn giản hàng ngày có thể trở nên khó khăn hơn.
VIÊM KHỚP CỔ TAY
Viêm khớp liên quan đến tình trạng viêm một hoặc nhiều khớp của bạn. Đau và cứng là các triệu chứng phổ biến của bệnh viêm khớp và khi những triệu chứng này xảy ra ở cổ tay của bạn, các hoạt động đơn giản hàng ngày có thể trở nên khó khăn hơn.
Có nhiều loại viêm khớp, và hầu hết chúng có thể ảnh hưởng đến cổ tay. Mặc dù mức độ nghiêm trọng của các triệu chứng liên quan đến viêm khớp có thể khác nhau, nhưng hầu hết các bệnh liên quan đến viêm khớp đều là mãn tính. Điều này có nghĩa là chúng tồn tại lâu dài - thậm chí vĩnh viễn - và cuối cùng có thể gây ra tổn thương khớp nghiêm trọng.
Cổ tay của bạn là một khớp phức tạp — nó thực sự được tạo thành từ nhiều khớp nhỏ. Khi khỏe mạnh, các xương dễ dàng trượt qua nhau trong quá trình vận động, được bảo vệ bởi lớp sụn trơn nhẵn bao bọc bề mặt khớp. Viêm khớp làm tổn thương lớp sụn này. Khi bệnh tiến triển, có sự mất dần chất sụn. Nếu không có bề mặt khớp nhẵn, các xương cọ xát vào nhau dẫn đến các khớp bị tổn thương không thể sửa chữa được.
Mặc dù ngày nay không có cách chữa khỏi bệnh viêm khớp nhưng có rất nhiều lựa chọn điều trị để giúp giảm các triệu chứng của bạn. Một số tùy chọn cũng có thể làm chậm sự tiến triển của tổn thương khớp. Với điều trị thích hợp, nhiều người có thể kiểm soát các triệu chứng của họ và duy trì hoạt động.
Giải phẫu
Cổ tay là một khớp phức tạp kết nối bàn tay với cẳng tay. Nó được hình thành bởi hai xương cẳng tay – xương quay và xương trụ - và tám xương cổ tay nhỏ. Các xương cổ tay xếp thành hai hàng ở gốc bàn tay. Có bốn xương trong mỗi hàng.
Bề mặt khớp của mỗi xương được bao phủ bởi sụn khớp - một chất nhầy (dịch khớp) trơn giúp bảo vệ và đệm xương khi bạn cử động bàn tay và cổ tay.
Phân loại
Mặc dù có nhiều loại viêm khớp, nhưng ba loại thường ảnh hưởng đến cổ tay nhất là:
• Viêm xương khớp
• Viêm khớp dạng thấp
• Viêm khớp sau chấn thương
Viêm xương khớp sau thoái hóa khớp
Thoái hóa khớp có thể phát triển do sự "hao mòn" bình thường ở cổ tay, đặc biệt ở những người có tiền sử gia đình bị viêm khớp. Đây là một vấn đề phổ biến đối với nhiều người sau khi họ bước vào tuổi trung niên, mặc dù nó cũng có thể xảy ra ở những người trẻ tuổi.
Trong bệnh thoái hóa khớp, lớp sụn khớp trơn nhẵn bao bọc đầu xương bị mòn dần theo thời gian. Bởi vì bề mặt sụn có rất ít hoặc không có nguồn cung cấp máu, nó có rất ít khả năng chữa lành hoặc tái tạo khi bị thương hoặc mòn.
Khi sụn bị mòn đi, nó trở nên sờn và thô ráp, và không gian bảo vệ giữa các xương giảm xuống. Điều này có thể dẫn đến xương cọ xát vào xương và dẫn đến đau và cứng khớp.
Viêm xương khớp ở cổ tay cũng có thể phát triển từ bệnh Kienböck. Trong bệnh Kienböck, nguồn cung cấp máu cho một trong các xương cổ tay – xương nguyệt cổ tay - bị gián đoạn, khiến xương chết và từ từ sập lún. Theo thời gian, sự sụp đổ này có thể dẫn đến những thay đổi và viêm khớp ở các khớp xung quanh xương nguyệt.
Viêm khớp dạng thấp
Viêm khớp dạng thấp là một bệnh mãn tính có thể ảnh hưởng đến nhiều khớp trên toàn cơ thể. Tình trạng này thường bắt đầu ở các khớp nhỏ hơn, chẳng hạn như ở bàn tay và cổ tay. Nó đối xứng, có nghĩa là nó thường ảnh hưởng đến cùng một khớp ở cả hai bên của cơ thể.
Viêm khớp dạng thấp là một bệnh tự miễn. Điều này có nghĩa là hệ thống miễn dịch của cơ thể tấn công các mô của chính nó. Trong bệnh viêm khớp dạng thấp, hệ thống phòng thủ thường bảo vệ cơ thể khỏi bị nhiễm trùng thay vào đó lại làm hỏng mô bình thường (chẳng hạn như sụn và dây chằng) và có thể làm mềm xương.
Viêm khớp dạng thấp thường ảnh hưởng đến khớp giữa hai xương của cẳng tay, xương quay và xương trụ. Dị dạng ở ngón tay cái có thể gây mòn và có thể đứt các gân duỗi ngón tay của bạn. Điều này có thể khiến bàn tay của bạn bị biến dạng và mất chức năng nhiều hơn.
Nguyên nhân chính xác của bệnh viêm khớp dạng thấp vẫn chưa được biết - không có yếu tố di truyền hoặc môi trường rõ ràng. Mặc dù đây không phải là một bệnh di truyền, nhưng các nhà nghiên cứu tin rằng một số người có gen có thể khiến họ dễ mắc bệnh thấp khớp.
Viêm khớp sau chấn thương
Viêm khớp sau chấn thương có thể phát triển sau một chấn thương, chẳng hạn như gãy xương cổ tay hoặc dây chằng bị rách. Chấn thương này có thể gây ra chấn thương trực tiếp cho sụn hoặc làm chậm quá trình mài mòn của sụn do sự thay đổi cách các xương di chuyển với nhau - chẳng hạn như sau khi bị rách dây chằng.
Viêm khớp sau chấn thương có thể phát triển trong nhiều năm kể từ chấn thương ban đầu. Mặc dù được điều trị thích hợp, một khớp bị thương vẫn có nguy cơ cao bị viêm khớp theo thời gian.
Triệu chứng
Không phải tất cả bệnh nhân bị viêm khớp sẽ gặp phải các triệu chứng. Khi chúng xảy ra, mức độ nghiêm trọng rất khác nhau giữa các bệnh nhân. Đối với một số bệnh nhân, các triệu chứng không liên tục - nhưng có thể đến và đi tùy thuộc vào mức độ hoạt động của họ và các yếu tố khác.
Các triệu chứng của viêm khớp có thể bao gồm:
• Đau
• Sưng tấy
• Giảm tầm vận động khớp và cứng khớp
• Yếu khớp
Khám bác sĩ
Khám lâm sàng
Bác sĩ sẽ nói chuyện với bạn về sức khỏe tổng thể và tiền sử bệnh của bạn và yêu cầu bạn mô tả các triệu chứng của bạn. Bác sĩ sẽ khám kiểm tra kỹ cổ bàn tay của bạn, tìm kiếm:
• Giảm phạm vi vận động khớp
• Bất kỳ vùng nào bị đau hoặc căng
• Mất vững cổ tay
• Sưng tấy hoặc biến dạng cổ bàn tay
Trong khi khám, bác sĩ cũng có thể đánh giá:
• Khả năng di chuyển của ngón tay và ngón tay cái — Để xác định xem gân và khớp của bạn đang hoạt động như thế nào
• Chức năng thần kinh — Để xác định xem bạn có mắc một tình trạng nào khác có thể ảnh hưởng đến cổ tay của bạn hay không, chẳng hạn như hội chứng ống cổ tay (chèn ép dây thần kinh)
Cận lâm sàng
Chụp X-quang.
Tia X cung cấp hình ảnh chi tiết của các cấu trúc dày đặc, chẳng hạn như xương. Chụp X-quang cổ tay sẽ giúp bác sĩ tìm hiểu thêm về vị trí chính xác và mức độ nghiêm trọng của bệnh viêm khớp. Họ cũng có thể giúp bác sĩ của bạn phân biệt giữa các loại viêm khớp khác nhau.
Xét nghiệm máu.
Bác sĩ có thể đề nghị xét nghiệm máu để xác định loại viêm khớp mà bạn mắc phải. Với bệnh thấp khớp và các loại viêm khớp viêm khác, xét nghiệm máu rất quan trọng để chẩn đoán chính xác. Thoái hóa khớp không liên quan đến các bất thường về máu.
Điều trị
Không có cách chữa khỏi bệnh viêm khớp, nhưng có một số phương pháp điều trị có thể giúp giảm tần suất các triệu chứng của bạn và giảm đau và mất chức năng mà nó có thể gây ra.
Điều trị không phẫu thuật
Nói chung, điều trị ban đầu cho bệnh viêm khớp có bản chất là không phẫu thuật và được thiết kế để giúp giảm thiểu các triệu chứng của bạn.
Các lựa chọn điều trị phi phẫu thuật có thể bao gồm:
• Thay đổi hoạt động thường ngày. Hạn chế hoặc ngừng các hoạt động khiến cơn đau của bạn trở nên tồi tệ hơn là bước đầu tiên để giảm các triệu chứng.
• Bất động. Đeo nẹp cổ tay trong thời gian ngắn sẽ giúp hỗ trợ khớp và giảm bớt căng thẳng do sử dụng và hoạt động thường xuyên.
• Thuốc men. Thuốc chống viêm không steroid (NSAID) như aspirin, naproxen và ibuprofen có thể giúp giảm đau và sưng. Thuốc NSAID tại chỗ có thể được bôi trực tiếp lên da ở vùng khớp.
• Bài tập. Các bài tập cụ thể sẽ giúp cải thiện phạm vi vận động và chức năng ở cổ tay của bạn. Bác sĩ hoặc chuyên gia vật lý trị liệu có thể giúp phát triển một chương trình tập thể dục đáp ứng nhu cầu cụ thể của bạn.
• Tiêm steroid. Cortisone là một chất chống viêm mạnh có thể được tiêm vào khớp. Mặc dù tiêm cortisone có thể giúp giảm đau và giảm viêm, nhưng tác dụng có thể chỉ là tạm thời.
• Các liệu pháp khác. Điều này có thể bao gồm sử dụng "ngâm đối nghịch" của nước ấm và lạnh để giúp giảm sưng.
Nếu các triệu chứng viêm khớp dạng thấp của bạn không được kiểm soát đầy đủ bằng các liệu pháp trên, bác sĩ có thể kê đơn thuốc bổ sung. Những loại thuốc này - được gọi là thuốc chống thấp khớp điều chỉnh bệnh (DMARD) - được thiết kế để ngăn hệ thống miễn dịch tấn công các khớp.
Giống như tất cả các loại thuốc, DMARD có cả rủi ro và lợi ích. Việc sử dụng DMARDs của bạn sẽ được hướng dẫn bởi bác sĩ chuyên khoa thấp khớp.
Điều trị phẫu thuật
Nếu điều trị không phẫu thuật không làm giảm cơn đau của bạn và chất lượng cuộc sống của bạn bị ảnh hưởng đáng kể do viêm khớp, bác sĩ có thể đề nghị phẫu thuật.
Mục tiêu của phẫu thuật là giảm đau trong khi bảo tồn hoặc cải thiện chức năng bàn tay. Thông thường, điều này được thực hiện bằng cách giảm thiểu hoặc loại bỏ tiếp xúc xương trên xương. Có một số quy trình điều trị viêm khớp cổ tay. Bác sĩ của bạn sẽ nói chuyện với bạn về phẫu thuật nào sẽ hiệu quả nhất trong trường hợp của bạn.
Cắt bỏ hàng gần.
Trong phẫu thuật này, bác sĩ sẽ loại bỏ ba xương cổ tay ở hàng trên xương cổ tay. Phẫu thuật này được thiết kế để giảm đau đồng thời duy trì một số vận động của cổ tay.
Hàn khớp
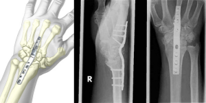
Nếu cử động là nguồn gốc gây ra cơn đau của bạn, bác sĩ có thể khuyên bạn nên hàn khớp. Hàn khớp là một phẫu thuật kết hợp các xương thành một khối. Ý tưởng cơ bản là hợp nhất các xương lại với nhau để chúng lành lại thành một xương vững chắc duy nhất. Lý thuyết đằng sau sự hợp nhất là, nếu xương bị đau không di chuyển, chúng sẽ không bị đau.
Trong quá trình phẫu thuật, bác sĩ sẽ loại bỏ sụn bị hư hỏng và sau đó ghép xương xốp vào giữa các xương, sử dụng vít rỗng hoặc nẹp vít để cố định. Theo thời gian, các xương hàn với nhau được kết nối thành một khối - tương tự như cách các đầu xương bị gãy liền lại với nhau.
Trong một số trường hợp, bác sĩ có thể thực hiện hàn khớp một phần, trong đó chỉ một số xương cổ tay được hàn với nhau. Điều này giải quyết các bề mặt khớp bị tổn thương, nhưng vẫn giữ nguyên các khớp khỏe mạnh để duy trì một số vận động của cổ tay.
Tuy nhiên, nếu tình trạng viêm khớp của bạn lan rộng, có thể cần phải hàn khớp toàn bộ cổ tay. Trong phẫu thuật này, tất cả các xương cổ tay được hàn khớp với nhau, cùng với xương quay (một trong các xương ở cẳng tay). Mặc dù tất cả vận động của cổ tay được loại bỏ hoàn toàn, nhưng vận động quay của cẳng tay và ngón tay / ngón cái thường được giữ nguyên.
Thay toàn bộ khớp cổ tay (tạo hình khớp)
Trong quá trình thay thế toàn bộ khớp cổ tay, bác sĩ sẽ loại bỏ sụn và xương bị hư hỏng ở cổ tay của bạn, sau đó thay khớp nhân tạo để phục hồi chức năng của khớp. Thay khớp cổ tay giúp giảm đau do viêm khớp đồng thời cho phép cổ tay cử động nhiều hơn so với hàn khớp.
Sống chung với bệnh viêm khớp
Có thể không khuyến khích khi biết rằng bạn bị viêm khớp, nhưng có một số điều bạn có thể làm để giúp giảm bớt tác động của tình trạng này đối với cuộc sống của bạn. Bao gồm các:
• Nói chuyện với bác sĩ của bạn. Nếu các triệu chứng của bạn xấu đi hoặc bạn gặp khó khăn trong việc đối phó, hãy yêu cầu bác sĩ xem xét kế hoạch điều trị của bạn và xác định xem có cần thay đổi hay không.
• Thay đổi các hoạt động của bạn. Nếu một số hoạt động làm trầm trọng thêm tình trạng viêm khớp của bạn, hãy giảm bớt hoặc loại bỏ các hoạt động này để giúp giảm thiểu các triệu chứng của bạn.
• Thử các liệu pháp thay thế. Một số liệu pháp thay thế có thể giúp giảm đau do viêm khớp. Luôn thảo luận với bác sĩ trước khi thử bất kỳ phương pháp điều trị thay thế nào vì chúng có thể ảnh hưởng đến kế hoạch điều trị tổng thể của bạn.
Ths.Bs Lê Ngọc Tuấn
Bệnh viện Chấn thương Chỉnh hình TP.HCM
VIET UC CLINIC
Địa chỉ: Số 684/5 Trần Hưng Đạo, Phường 2, Quận 5, TP.HCM


Xem thêm