HOẠI TỬ XƯƠNG NGUYỆT (Kienböck Disease)
Hoại tử xương nguyệt hay Bệnh Kienböck là tình trạng nguồn cung cấp máu đến một trong các xương nhỏ ở cổ tay, xương nguyệt, bị gián đoạn.
HOẠI TỬ XƯƠNG NGUYỆT
(Kienböck Disease)
Hoại tử xương nguyệt hay Bệnh Kienböck là tình trạng nguồn cung cấp máu đến một trong các xương nhỏ ở cổ tay (xương nguyệt) bị gián đoạn.
Xương là mô sống cần được cung cấp máu thường xuyên để nuôi dưỡng. Nếu ngừng cung cấp máu cho xương, xương có thể chết. Đây được gọi là hoại tử xương.
Tổn thương của xương nguyệt gây ra đau, cứng cổ tay và theo thời gian, có thể dẫn đến viêm khớp, thoái hóa khớp.
Nguyên nhân
Nguyên nhân của bệnh Kienböck không được biết đến. Nhiều người mắc bệnh Kienböck ban đầu nghĩ rằng họ bị bong gân cổ tay. Họ có thể đã trải qua một số chấn thương ở cổ tay, chẳng hạn như ngã chống tay. Loại chấn thương này có thể làm gián đoạn lưu lượng máu đến xương nguyệt.
Một số điều có thể khiến bạn có nhiều nguy cơ mắc bệnh hơn. Ví dụ, hầu hết mọi người có hai mạch cung cấp máu cho xương nguyệt, nhưng ở một số người chỉ có một nguồn. Điều này có thể làm chậm lưu lượng máu đến xương. Ngoài ra, nếu hai xương của cẳng tay (xương quay và xương trụ) có độ dài khác nhau, có thể tạo thêm áp lực lên xương nguyệt trong một số vận động của cổ tay. Theo thời gian áp suất lên xương có thể dẫn đến bệnh Kienböck.
Triệu chứng
Các triệu chứng phổ biến nhất của bệnh Kienböck bao gồm:
• Cổ tay đau và đôi khi sưng lên
• Giới hạn vận động cổ tay (cứng)
• Giảm sức cầm nắm bàn tay
• Đau trực tiếp trên xương (trên đầu bàn tay, khoảng giữa cổ tay)
• Đau hoặc khó duỗi cổ tay
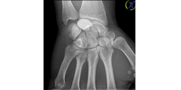
Phân loại
Phân loại Lichtman cho bệnh Kienbock
|
Giai đoạn I |
Xquang bình thường (xương nguyệt giảm lưu lượng máu nuôi trên MRI) |
|
Giai đoạn II |
Hoại tử xương nguyệt không sập lún, nhiều đường gãy có thể nhìn thấy |
|
Giai đoạn III |
Xương nguyệt gãy và sập lún |
|
IIIA |
Cổ tay chưa sập lún |
|
IIIB |
Cổ tay sập lún |
|
Giai đoạn IV |
Thoái hóa khớp quay cổ tay và giữa cổ tay |
Khám bác sĩ
Bệnh Kienböck là một tình trạng tiến triển chậm, và nhiều người không quyết định đi khám bệnh cho đến khi họ sống chung với các triệu chứng trong vài tháng, vài năm thậm chí có thể lâu hơn.
Trong lần khám đầu tiên, bác sĩ sẽ thảo luận về các triệu chứng và bệnh sử của bạn, sau đó kiểm tra cổ bàn tay của bạn. Ở giai đoạn đầu, bệnh Kienböck có thể khó chẩn đoán vì các triệu chứng rất giống với cổ tay bị bong gân. Các xét nghiệm hình ảnh, chẳng hạn như chụp X-quang và chụp cộng hưởng từ (MRI), được sử dụng để xác định chẩn đoán bệnh Kienböck.
Bệnh Kienböck tiến triển qua bốn giai đoạn mức độ nghiêm trọng. Nếu bạn được chẩn đoán mắc bệnh Kienböck, bác sĩ sẽ lập kế hoạch điều trị dựa trên một số yếu tố, quan trọng nhất là giai đoạn tiến triển của bạn.
Giai đoạn 1
Trong giai đoạn đầu của bệnh, các triệu chứng tương tự như khi bị bong gân cổ tay. Mặc dù nguồn cung cấp máu cho xương nguyệt đã bị gián đoạn, nhưng chụp X-quang vẫn có thể bình thường hoặc có thể thấy dấu hiệu của xương gãy. Chụp MRI có thể phát hiện lưu lượng máu tốt hơn và rất hữu ích trong việc chẩn đoán trong giai đoạn đầu này.
Giai đoạn 2
Xương nguyệt bắt đầu cứng do thiếu nguồn cung cấp máu trong Giai đoạn 2. Quá trình cứng này được gọi là xơ cứng. Ngoài ra, xương nguyệt sẽ sáng hơn hoặc trắng hơn ở những vùng trên phim chụp X-quang, điều này cho thấy xương đang chết. Để đánh giá tốt hơn tình trạng của bệnh, bác sĩ cũng có thể chỉ định chụp MRI hoặc chụp cắt lớp vi tính (CT).
Các triệu chứng phổ biến nhất trong giai đoạn này là đau cổ tay, sưng và đau.
Giai đoạn 3
Trong giai đoạn 3, xương chết bắt đầu sụp lún và vỡ thành nhiều mảnh. Khi xương bắt đầu bị gãy, các xương xung quanh có thể bắt đầu thay đổi vị trí.
Trong giai đoạn này, bệnh nhân thường cảm thấy đau ngày càng tăng, yếu khi cầm nắm và cử động cổ tay bị hạn chế.
Giai đoạn 4
Nếu tình trạng bệnh tiến triển đến Giai đoạn 4, bề mặt của xương xung quanh xương nguyệt cũng xấu đi và cổ tay có thể bị thoái hóa khớp
Điều trị
Mặc dù không có cách chữa khỏi hoàn toàn cho bệnh Kienböck, nhưng có một số lựa chọn phẫu thuật và không phẫu thuật để điều trị nó. Mục tiêu của việc điều trị là giảm áp lực lên xương nguyệt và cố gắng khôi phục lưu lượng máu trong xương.
Điều trị không phẫu thuật
Trong giai đoạn đầu của bệnh, đau và sưng có thể được kiểm soát bằng thuốc chống viêm, chẳng hạn như aspirin hoặc ibuprofen. Bất động cổ tay của bạn trong một khoảng thời gian có thể giúp giảm áp lực lên xương nguyệt và bác sĩ có thể khuyên bạn nên nẹp hoặc bó bột trong 2 đến 3 tuần.
Điều quan trọng là phải theo dõi bất kỳ thay đổi nào trong các triệu chứng của bạn trong giai đoạn đầu của bệnh Kienböck. Nếu cơn đau không thuyên giảm với các phương pháp điều trị đơn giản hoặc nó quay trở lại, bác sĩ có thể đề nghị phẫu thuật.
Điều trị phẫu thuật
Có một số lựa chọn phẫu thuật để điều trị bệnh Kienböck. Việc lựa chọn phương pháp phẫu thuật sẽ phụ thuộc vào một số yếu tố, đặc biệt là mức độ tiến triển của bệnh. Các yếu tố bổ sung cần xem xét là mức độ hoạt động của bệnh nhân, mục tiêu cá nhân và kinh nghiệm của bác sĩ phẫu thuật với các phương pháp.
Ghép xương có cuống mạch.
Trong một số trường hợp, có thể cung cấp máu trở lại cho xương nguyệt. Phương pháp này được gọi là tái lưu thông máu (ghép xương có cuống mạch). Nó thành công hơn trong các giai đoạn đầu của bệnh - giai đoạn 1 và 2 - trước khi xương nguyệt hoại tử đáng kể.
Tái lưu thông máu liên quan đến việc lấy một mảnh xương có cuống mạch máu nuôi ghép vào xương khác - thường là xương cẳng tay (xương quay) hoặc xương liền kề ở bàn tay (nền xương bàn III). Mảnh xương này với nguồn cung cấp máu của nó được gọi là mảnh ghép có cuống mạch máu. Nó được ghép vào (đưa vào) xương nguyệt.
Để giúp xương cố định trong quá trình lành, có thể tạm thời áp dụng một dụng cụ cố định bên ngoài. Đây là một thiết bị kim loại được gắn vào bên ngoài cổ tay bằng các đinh cắm vào xương. Nó có thể làm giảm áp lực lên xương nguyệt trong khi mảnh ghép đang lành và phục hồi nguồn cung cấp máu.
Cắt ngắn xương cẳng tay.
Nếu hai xương của cẳng tay không có cùng chiều dài, bạn có thể nên làm phẫu thuật cân bằng khớp. Xương có thể được làm dài hơn bằng cách sử dụng mảnh ghép xương hoặc cắt ngắn bằng cách loại bỏ một phần của xương. Phẫu thuật này làm giảm các lực nén lên xương nguyệt và thường ngăn chặn sự tiến triển của bệnh.
Cắt bỏ hàng gần xương cổ tay.
Nếu xương nguyệt bị sập lún nghiêm trọng và vỡ thành nghiều mảnh, nó có thể được loại bỏ. Trong phẫu thuật này hai xương ở hai bên của xương nguyệt (xương thuyền và xương tháp) cũng được loại bỏ. Phẫu thuật này, được gọi là phẫu thuật lấy bỏ hàng trên xương cổ tay, sẽ giảm đau trong khi duy trì vận động một phần cổ tay.
Hàn khớp
Để giảm bớt áp lực lên xương nguyệt, các xương cổ tay gần đó có thể được hàn với nhau để tạo thành một xương vững chắc. hàn khớp có thể là một phần, trong đó chỉ một số xương được hàn với với nhau. Phẫu thuật này làm giảm đau và giữ lại một số vận động của cổ tay.
Nếu bệnh đã chuyển sang giai đoạn viêm khớp, thoái hóa khớp cổ tay nghiêm trọng, việc hàn khớp tất cả các xương của cổ tay với xương quay sẽ giảm đau và cải thiện chức năng bàn tay. Mặc dù tất cả chuyển động của cổ tay được loại bỏ trong một sự hàn khớp hoàn toàn, nhưng chuyển động quay của cẳng tay vẫn được duy trì.
(Tất cả các phẫu thuật trên đều đã được triển khai tại BV Chấn thương Chỉnh hình TP.HCM)
Kết quả
Bệnh Kienböck khác nhau đáng kể về mức độ nghiêm trọng, cũng như tốc độ tiến triển của nó. Đáp ứng điều trị của mỗi bệnh nhân phụ thuộc vào mức độ tổn thương của xương nguyệt và các xương cổ tay xung quanh. Một số bệnh nhân có thể yêu cầu nhiều hơn một phương pháp điều trị nếu bệnh tiếp tục tiến triển.
Tóm lại, bệnh nhân mắc bệnh Kienböck không nên mong đợi sẽ trở lại chức năng cổ tay bình thường sau bất kỳ đợt điều trị nào. Tuy nhiên, điều trị mang lại cơ hội lớn nhất để bảo tồn lâu dài chức năng và giảm đau.
Ths.Bs. Lê Ngọc Tuấn
Bệnh viện Chấn thương Chỉnh hình TP.HCM
VIET UC CLINIC
Địa chỉ: Số 684/5 Trần Hưng Đạo, Phường 2, Quận 5, TP.HCM



Xem thêm